Φορητή συσκευή μαγνητικής τομογραφίας!
Οι λεπτομέρειες που εμφανίζουν οι μαγνητικές τομογραφίες των γνωστών μεγάλων συσκευών δεν απεικονίζονται ακόμη από τις φορητές συσκευές, που είναι όμως χρήσιμες για επείγουσες περιπτώσεις, όταν ο ασθενής δεν μπορεί να μετακινηθεί
Οι τομογράφοι Πυρηνικού Μαγνητικού Συντονισμού (ΠΜΣ ή MRI) είναι τα πιο πολύτιμα διαγνωστικά εργαλεία που υπάρχουν αυτήν τη στιγμή για τον έλεγχο τραυμάτων του εγκεφάλου και εγκεφαλικών διαταραχών. Ωστόσο, τα δύο τρίτα των ανθρώπων δεν έχουν πρόσβαση στην τεχνολογία αυτή, ενώ το 90% των συσκευών είναι εγκατεστημένες στις ανεπτυγμένες χώρες. Μια συσκευή ΠΜΣ στοιχίζει από 1 έως 3 εκατομμύρια δολάρια, χρειάζεται ειδικά κατασκευασμένο δωμάτιο, που να την προφυλάσσει από εξωτερικές παρεμβολές και να εγκλωβίζει τα ισχυρά μαγνητικά πεδία που δημιουργούν οι υπεραγώγιμοι ηλεκτρομαγνήτες της, οι οποίοι απαιτούν υγροποιημένο ήλιον για να λειτουργήσουν.
Εναλλακτικοί φορητοί τομογράφοι ΠΜΣ χαμηλού κόστους απόκτησης και λειτουργίας θα είναι σύντομα σε ευρεία χρήση. Τον περασμένο Δεκέμβρη, δημοσίευση ερευνητών του πανεπιστημίου του Χονγκ Κονγκ, με επικεφαλής τον βιοϊατρικό μηχανικό Εντ Γου, περιγράφει έναν τομογράφο MRI, που δεν χρειάζεται καμία ασπίδα ακτινοβολίας γύρω του και παίρνει ηλεκτρικό ρεύμα από μια απλή πρίζα.
Η προσέγγιση αυτή στην τομογραφία, που ονομάζεται Ακραία Χαμηλού Πεδίου (ULF) MRI, δεν προσφέρει την καθαρότητα και την υψηλή ανάλυση που απαιτούνται για διαγνώσεις ακριβείας, αλλά είναι πολύ πιο οικονομική, με το κόστος των υλικών να εκτιμάται γύρω σε λίγες δεκάδες χιλιάδες δολάρια. Επιπλέον, η σχεδίαση της μηχανής και οι αλγόριθμοι που χρησιμοποιεί είναι ανοιχτού κώδικα, επιτρέποντας στους ερευνητές οπουδήποτε στον κόσμο να αναπτύξουν συσκευές με βάση αυτή την τεχνολογία.
Υπενθυμίζεται ότι τα συμφέροντα των φαρμακευτικών μονοπωλίων και η γεωπολιτική αξιοποίηση, που κρύβονται πίσω από τις πατέντες, δεν έχουν δώσει ακόμη δικαίωμα μαζικής παραγωγής των εμβολίων για τον νέο κορονοϊό, με αποτέλεσμα μεγάλο μέρος του παγκόσμιου πληθυσμού να παραμένει ανεμβολίαστο. Η εξαρχής παράδοση των σχεδίων μιας χρήσιμης νέας εφεύρεσης σε κάθε ενδιαφερόμενο δίνει άλλες δυνατότητες αξιοποίησής της, αν και είναι βέβαιο ότι θα συνεχίσει να αποτελεί την εξαίρεση και όχι τον κανόνα, όσο στον κόσμο κυριαρχεί ο καπιταλισμός.
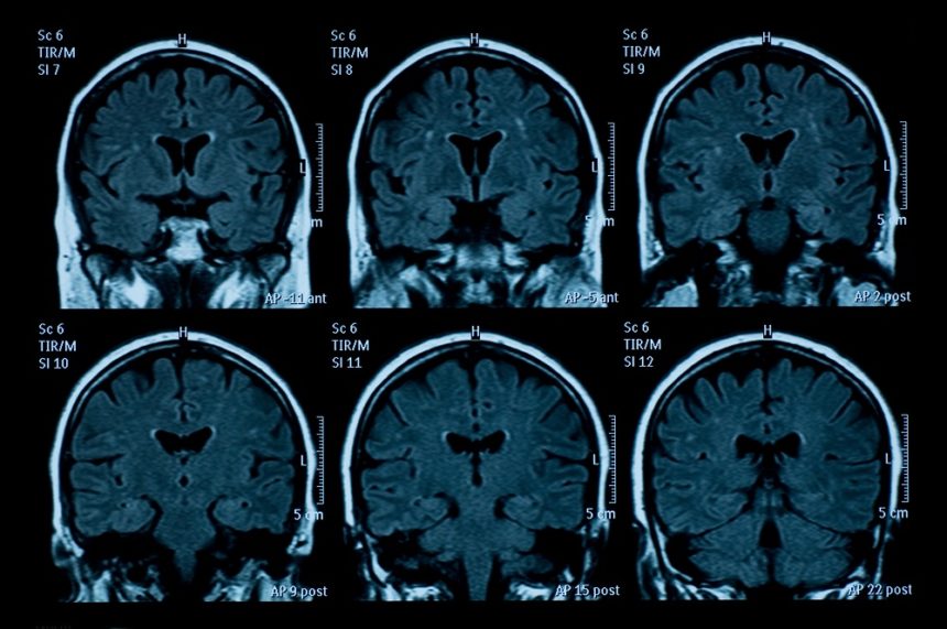
Η τομογραφία ΠΜΣ εκμεταλλεύεται το γεγονός ότι το ανθρώπινο σώμα αποτελείται κατά το μεγαλύτερο ποσοστό από νερό. Τα πρωτόνια που αποτελούν τον πυρήνα των ατόμων υδρογόνου στη χημική ένωση του νερού, έχουν μαγνητικά σπιν, που όταν βρεθούν μέσα σε ισχυρό μαγνητικό πεδίο, προσανατολίζονται όλα προς την ίδια κατεύθυνση και μπορούν να ανιχνευτούν από παλμούς ραδιοφωνικών συχνοτήτων. Κάθε ιστός έχει διαφορετική συγκέντρωση νερού και μαγνητικό περιβάλλον και αυτές οι διαφορές εμφανίζονται ως ανοιχτόχρωμες ή σκουρόχρωμες περιοχές στις απεικονίσεις.
Αντί για υπεραγώγιμους ηλεκτρομαγνήτες, ο σχεδιασμός ULF προβλέπει μόνιμους μαγνήτες, εξαλείφοντας την ανάγκη ψύξης. Οι μόνιμοι μαγνήτες παράγουν πεδίο μόλις 0,055 τέσλα (σε αντίθεση με το 1,5 έως 3 τέσλα των μεγάλων τομογράφων ΠΜΣ), οπότε δεν είναι απαραίτητη ούτε η ασπίδα για το μαγνητικό πεδίο. Βεβαίως, επειδή το μαγνητικό πεδίο είναι πιο ασθενές, τα σήματα είναι αναλόγως πιο ασθενή και η αναλογία σήματος προς θόρυβο χειρότερη, με τελικό αποτέλεσμα εικόνα χαμηλότερης ανάλυσης.
Για να αποφύγουν την ανάγκη ασπίδας από εξωτερικά ραδιοσήματα, οι ερευνητές χρησιμοποίησαν έναν αλγόριθμο βαθιάς μηχανικής μάθησης, που εκπαιδεύτηκε ώστε να αναγνωρίζει και να προβλέπει τα σήματα από εξωτερικές παρεμβολές, τα οποία στη συνέχεια αφαιρούνται από το μετρούμενο σήμα. Μοιάζει κάπως σαν το σύστημα ακύρωσης του εξωτερικού θορύβου, που διαθέτουν ορισμένα ακουστικά.
Σε σύγκριση των απεικονίσεων 25 ασθενών, που προέκυψαν από τυπικούς τομογράφους και από τον νέο φορητό τομογράφο, οι ερευνητές μπορούσαν να εντοπίσουν στις περισσότερες απ΄ αυτές τις συγκεκριμένες παθολογίες, μεταξύ αυτών τα εγκεφαλικά επεισόδια και τους όγκους. Ιδιαίτερα η ταχεία διάγνωση των εγκεφαλικών επεισοδίων μπορεί να βελτιώσει σημαντικά τα αποτελέσματα της σχετικής θεραπευτικής αγωγής.
Η νέα σχεδίαση φορητού ΠΜΣ δεν είναι η μόνη, καθώς αναπτύσσονται ήδη αρκετές ανάλογες συσκευές με άλλες προσεγγίσεις. Οι συσκευές ULF δεν αποσκοπούν να αντικαταστήσουν τους μεγάλους τομογράφους ΠΜΣ. Περισσότερο χρήσιμες θα είναι σε έκτακτες περιπτώσεις, όπου ο ασθενής δεν μπορεί να μεταφερθεί άμεσα σε νοσοκομείο, ώστε να μη χάνεται πολύτιμος χρόνος, πριν αρχίσει η χορήγηση κατάλληλης θεραπείας. Ο Γου και η ομάδα του σκοπεύουν να εφαρμόσουν και άλλους αλγόριθμους, επικεντρώνοντας στην ανάδειξη των χαρακτηριστικών που εμφανίζονται στην τομογραφία ως αποκλίνοντα του κανονικού, καθώς η αναζήτηση μπορεί να γίνει πιο αποτελεσματική όταν γνωρίζεις τι ψάχνεις.
Επιμέλεια: Σταύρος ΞΕΝΙΚΟΥΔΑΚΗΣ – Πηγή: «Scientific American»
(Αναδημοσίευση από τον Ριζοσπάστη του Σαββατοκύριακου 5-6 Μάρτη 2022)








































































